TOP

埋没法(A-0031)

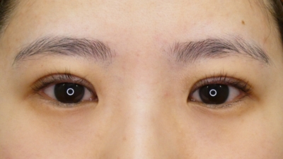
二重・まぶた整形 20代の症例写真A-0031

  • 二重・まぶた整形・術前
    術前
  • 二重・まぶた整形・術直後
    術直後
  • 二重・まぶた整形・術後1週間
    術後1週間
  • 二重・まぶた整形・術後1ヶ月
    術後1ヶ月
20代/女性

症例概要

二重埋没法:切開不要で特殊な糸をまぶたに通して留め、自然な二重ラインを形成する二重埋没法です。

ドクターからのコメント

埋没法は細い糸を使って二重のひだを作って止める方法です。
施術時間が短く、痛みや腫れが少なく済むのが特徴です。

当院では手術前に患者様の納得がいくまで二重の幅や形を医師とともにじっくりと話し合ってご満足いただけるようにしております。

施術料金

埋没法6点留め:¥154,000(税込)

主なリスク・副作用等

術後腫れにより目の開けづらさや二重幅が広くなることがありますが、2-3日で腫れが落ち着くとともにこれらの症状も落ち着きます。
手術部位の痛み・腫れ・内出血・違和感・疲労感等の症状が出る可能性があります。
埋没糸はほどける可能性があります。

施術詳細

同じ診療科目の症例写真

  • 二重・まぶた整形・術前
    二重・まぶた整形・術後2ヶ月

    眉下切開(アイリフト)

    眉毛の下を切開してたるんだ上まぶたの皮膚を除去し、自然に若々しい目元を取り戻すアイリフトです。

    施術料金385,000円
    ※本症例では複数の施術を組み合わせて行っています。

    副作用:痛み・腫れ・内出血・違和感・疲労感等

    50代/女性
    担当医: 津江医師
    詳しい症例写真へ
  • 二重・まぶた整形・術前
    二重・まぶた整形・術後3ヶ月

    二重埋没法

    切開不要で特殊な糸をまぶたに通して留め、自然な二重ラインを形成する二重埋没法です。

    施術料金110,000円
    ※本症例では複数の施術を組み合わせて行っています。

    副作用:痛み・腫れ・内出血・違和感・疲労感等

    40代/女性
    担当医: 江原院長
    詳しい症例写真へ
  • 二重・まぶた整形・術前
    二重・まぶた整形・術後3ヶ月

    眼瞼下垂

    眼瞼挙筋を修復・強化して下がったまぶたを引き上げ、視野改善と目元の印象を若返らせる手術です。

    施術料金682,000円

    副作用:痛み・腫れ・内出血・違和感・疲労感

    60代/女性
    担当医: 江原院長
    詳しい症例写真へ
  • 二重・まぶた整形・術前
    二重・まぶた整形・術後1ヶ月

    二重埋没法

    切開不要で特殊な糸をまぶたに通して留め、自然な二重ラインを形成する二重埋没法です。

    施術料金154,000円

    副作用:痛み・腫れ・内出血・違和感・疲労感

    20代/男性
    担当医: 江原院長
    詳しい症例写真へ
  • 二重・まぶた整形・術前
    二重・まぶた整形・術後1ヶ月

    二重埋没法

    切開不要で特殊な糸をまぶたに通して留め、自然な二重ラインを形成する二重埋没法です。

    施術料金264,000円

    副作用:痛み・腫れ・内出血・違和感・疲労感

    30代/女性
    担当医: 江原院長
    詳しい症例写真へ
  • 二重・まぶた整形・術前
    二重・まぶた整形・術後1ヶ月

    二重埋没法

    切開不要で特殊な糸をまぶたに通して留め、自然な二重ラインを形成する二重埋没法です。

    施術料金154,000円

    副作用:痛み・腫れ・内出血・違和感・疲労感

    20代/女性
    担当医: 江原院長
    詳しい症例写真へ
  • 二重・まぶた整形・術前
    二重・まぶた整形・術後3ヶ月

    二重埋没法

    切開不要で特殊な糸をまぶたに通して留め、自然な二重ラインを形成する二重埋没法です。

    施術料金330,000円

    副作用:痛み・腫れ・内出血・違和感・疲労感

    50代/女性
    詳しい症例写真へ
  • 二重・まぶた整形・術前
    二重・まぶた整形・術後1ヶ月

    二重埋没法

    切開不要で特殊な糸をまぶたに通して留め、自然な二重ラインを形成する二重埋没法です。

    施術料金154,000円

    副作用:痛み・腫れ・内出血・違和感・疲労感

    20代/男性
    担当医: 江原院長
    詳しい症例写真へ
  • 二重・まぶた整形・術前
    二重・まぶた整形・術後1ヶ月

    上まぶたのタルミ取り

    上まぶたの余分な皮膚・脂肪を切除し、重たい印象を解消して若々しくはっきりとした目元にします。

    施術料金624,800円

    副作用:痛み・腫れ・内出血・違和感・疲労感

    40代/女性
    詳しい症例写真へ
  • 二重・まぶた整形・術前
    二重・まぶた整形・術後1ヶ月

    二重埋没法

    切開不要で特殊な糸をまぶたに通して留め、自然な二重ラインを形成する二重埋没法です。

    施術料金154,000円

    副作用:痛み・腫れ・内出血・違和感・疲労感

    30代/女性
    詳しい症例写真へ
  • 二重・まぶた整形・術前
    二重・まぶた整形・術後3ヶ月

    目の下のたるみ取り・脂肪取り

    目の下のふくらみ(脂肪)やたるみを除去・再配置し、クマや膨らみのないすっきりした目元へ整えます。

    施術料金550,000
    ※本症例では複数の施術を組み合わせて行っています。

    副作用:痛み・腫れ・内出血・違和感・疲労感等

    70代/女性
    担当医: 江原院長
    詳しい症例写真へ
  • 二重・まぶた整形・術前
    二重・まぶた整形・術後1ヶ月

    二重埋没法

    切開不要で特殊な糸をまぶたに通して留め、自然な二重ラインを形成する二重埋没法です。

    施術料金110,000円

    副作用:痛み・腫れ・内出血・違和感・疲労感

    20代/女性
    担当医: 江原院長
    詳しい症例写真へ
  • 二重・まぶた整形・術前
    二重・まぶた整形・術後3ヶ月

    眼瞼下垂

    眼瞼挙筋を修復・強化して下がったまぶたを引き上げ、視野改善と目元の印象を若返らせる手術です。

    施術料金682,000円

    副作用:痛み・腫れ・内出血・違和感・疲労感等

    60代/男性
    詳しい症例写真へ
  • 二重・まぶた整形・術前
    二重・まぶた整形・術後4か月

    上まぶたのタルミ取り

    上まぶたの余分な皮膚・脂肪を切除し、重たい印象を解消して若々しくはっきりとした目元にします。

    施術料金385,000円

    副作用:痛み・腫れ・内出血・違和感・疲労感等

    50代/女性
    詳しい症例写真へ
二重・まぶた整形 症例一覧へ戻る